クリニックにおける透析の管理と診療のまとめ
透析の管理
総論
- 透析患者は35万人(2021年)で増加傾向、新規導入患者は3万人超/年で導入時の平均年齢71歳
○○県は約1万人弱、県内No2規模グループ全体で1200人くらいの患者数(最多施設は210人程度) - 透析は長時間やればやるほど生命予後が改善する
- QOLと予後改善効果の落としどころが4-5時間となっている(3.5時間未満は明らかに予後不良)
→血圧が下がりやすい人などは早めに来て5時間透析させるのがよい(本人に理解させるのが重要) - 透析は14回/月保険請求できる(3回×4週+2まで)
- 透析ベッド回転率を上げると、1件当たりの診療報酬が安くなってしまう
→短時間透析で荒稼ぎなどができないようにしているのだろう - エリスロポエチン製剤はマルメじゃなかったのに、最近はマルメにされた
→安いエイスロポエチン製剤がどんどんでてきた、今はダルベポエチンが頻用されている
5μg=554円、10μg=985円 (ネスプ5μg=855円) - 本来の腎臓機能=濾過であって、透析ではない→透析よりも濾過の方が生理的な腎臓に近いといえる
透析患者の医療費と自己負担
- 1か月の透析治療の医療費は、外来血液透析では約40万円、腹膜透析(CAPD)では30~50万円程度
- 透析に関係する医療費助成制度
- 健康保険に加入されている透析患者さま全員が対象
- 特定疾病(特定疾病療養受療制度)→全国一律の国の助成制度
→自己負担限度額が毎月約2万円程度になる(クリニック1万円+院外処方1万円)
「人工腎臓(人工透析)を実施している慢性腎不全」に対して厚労省が定める医療費助成制度
医師の申請書が必要(→特定疾病療養受領証)
- 特定疾病(特定疾病療養受療制度)→全国一律の国の助成制度
- 条件に該当する患者さまのみ対象
- 重度障害者医療費助成制度
→自己負担額を自治体が助成する制度、自治体ごとに制度名や助成額が異なる
身体障がい者手帳が関与するのはこちら - 自立支援医療(更生医療)制度
→腎移植などの費用を助成する制度
自立支援医療機関の指定を受けている医療機関で受診する必要がある
- 重度障害者医療費助成制度
- 健康保険に加入されている透析患者さま全員が対象
透析の原理と種類
- 35万人のうち17万人がHDFでそのうち、4.5万人がiHDF
- HDFは透析液を回路の血液に輸液しながらHDを行う→分子量の大きな物質の除去に
- 透析で除去できるのはNaを含んだ水分でNaだけや水分だけを除去することはできない



- 拡散+限外濾過
- メインは拡散で小分子量物質の除去に優れている

- 透析液を使用しない、限外濾過のみ
- 分子量の大きな物質の除去性能に優れている
- 血液透析と比べ血圧低下を起こしにくい→補液しているから当然だろう

- HD と HF の両方の長所を取り入れつつ、欠点を補う改良型の治療法
- 透析液は使用せず、透析膜に陰圧をかけて体内の余分な水のみを取り除く
- 補充液のないHFと同義
- I-HDF (Intermittent Infusion Hemodiafiltration, 間歇補充型血液透析濾過) とは、透析膜を介して濾過・補充を断続的に行う新しいタイプの透析療法

透析条件
- Qbはできるだけ大きく>300~350mL/minが理想
Qbが減少している(<200mL/min)場合はシャントエコーやPTAを予定する - kt/V(ケーティーオーバーブイ):最も死亡率の低い1.2~1.4以上が目標(米国1.2以上、日本1.4-1.6以上)
t(=4時間)、V(=体内水分量)は一定なのでk(=尿素クリアランス)を上げるしか方法がない
kを上げる(BUNをよりたくさん除去する)には透析回数、透析時間、血流量、膜面積を上げるくらいしか手段がない→現実的にはほぼQbに規定されることになる - PWI(plasma body weight index):=循環血漿量変化率/体重変化率
透析前後の総蛋白濃度と体重変化から計算する指標
除水1%でどの程度の循環血漿量の変化があるかを示す
PWI<2→DWを下げる
PWI=2~4→現DWが適正である
PWI>4→DWを上げる、水が足りない状態=ボクシングの計量前の極限状態
抗凝固薬
- フサン:
- 日本にしかない薬、アナフィラキシーの原因になることがある、値段が高値(ヘパリンの10倍)
- ヘパリン:
- 投与量は1000単位静注+500U/hrで固定、ダイアライザー内で凝固した場合はACTなどを測定して1000U/hr程度まで増量を検討
- ヘパリンはブタ由来なので敬虔なイスラム教徒には使用できない
透析管理で確認する管理項目/検査値
生命予後への寄与割合が高い順に
①DW
②栄養状態
③Hb/Ht
④P/Ca/PTH(Pが最も重要)
DW
- 理想的にはDW=降圧薬無しに透析前・後の血圧が目標血圧になる体重
- DW決定のための参考値
- CTR:男性<50%、女性<55%(個人差大)
- 体組成計:生体電気インピーダンス(BIA)法を3カ月に1回
- 血圧:透析中・透析後血圧が120-160mmHg
- ふらつき、血圧低下、だるさ、浮腫、呼吸苦など:自覚症状がないこと
- BNP
- hANP:60pg/mL程度となる体重(個人差大)半減期わずか2分しかない!
とるなら透析後に決めて、毎月の時系列でDWを評価する - PWI=血液濃縮率{ PWI:循環血漿量(総蛋白濃度)変化率/体重変化率 }
- 心エコー:三尖弁逆流圧較差TRPG<30mmHg(=体液量の指標)、Dd(40-55)/Ds(30-45)、IVC呼吸変動とIVC index
心エコーも条件でだいぶ印象が変わってくる(結果を見るときは検査時の体重もチェック)、体重増が多いと逆流(ARやMR)も多くなる
- 体重増加
- 中1日で体重の3%以内、中2日で体重の5%以内にする
- 日本透析医学会統計調査委員会が行った調査で、体重増加が4~6%における死亡の相対リスクが最も低かったことから、中1日で体重の4%以内、中2日で体重の6%以内を体重増加の目安にしている施設もある
- 無尿状態では食塩8.2gを摂取すると体重は1kg増加するとされる
- 日本人の平均とされる12gの塩分を1日に摂ってしまうと、中2日(36gの塩分)で体重は4.4kg増加
→1日の食塩摂取量は5g以下にすることが推奨
血圧(=心拍出量×血管抵抗)
透析患者の高血圧
→DW(Na+水分の管理)調整で血圧安定する人もいるが、血管抵抗が高い人では降圧剤が必要
- 血圧管理目標
週初め、透析前値:140/90mmHg未満
透析後:130/80未満 - 血圧管理上の注意点
- 透析中の血圧低下(intradaialytic hypotension:IDH)や透析後の起立性低血圧は2年後の死亡に対する独立した危険因子
→高血圧のみでなく血圧低下にも注意が必要、IDH予防には除水速度15mL/㎏/min以下にする→おのずと体重増加の限度量が決まる(DW60㎏なら除水限界速度900mL/hr=3600mL/4時間まで、ガイドラインでは中1日なら3%、なか2日なら6%以下の増加に抑えるとされている)
体重増加が多い→除水量が多い→血圧低下が起こりやすい→5時間透析が必要
血圧低下をきたす要因:降圧剤!!!、除水量、心不全、弁膜症、不整脈、糖尿病(→神経障害による血管抵抗低下)、低栄養
→塩分制限、水分制限が最重要、ダイアライザーの変更や、生理食塩水、50%ブドウ糖液、酸素の投与、下肢挙上などで対応する。それでもだめなら昇圧剤治療を検討(対症療法であり根本治療を考える)- メチル硫酸アメジニウム
- 塩酸ミドドリン
- ドロキシドパ
- 塩酸エチレフリン
- 透析前の降圧剤服薬は避け、透析後あるいは自宅に帰って服用する
CCBやACEI、ARBは比較的透析中の低血圧が出にくい
α遮断薬は透析中の低血圧リスクを高めるため、使用には注意(非透析日など)
ACEI/ARBにより腎性貧血増悪→ESAの使用量が増加→ESAの副作用として血圧上昇という悪循環に注意 - 降圧薬の代謝や透析性→ARB+CCBが◎、降圧不十分ならα遮断薬、ACEIやβBは降圧目的では使用しない
ARB、CCB、α遮断薬は肝代謝であるため用量調節の必要なし
多くのACEIや一部のβ遮断薬(アテノロールなど)は腎排泄であるため、減量が必要
CCBとARBは透析性が低く、β遮断薬、ACEIは透析性が高い→心臓保護が必要な症例のみ使用する
- 透析中の血圧低下(intradaialytic hypotension:IDH)や透析後の起立性低血圧は2年後の死亡に対する独立した危険因子
- https://www.jinnaika.com/wp/wp-content/uploads/2017/08/678d9976be758fa3f7cf89ac86b9e006.pdf
MRA、βB(脂溶性のカルベジロールとビソプロロ-ル)が効果的
MRAはACE阻害薬に比べて-6mmHgの降圧効果あり
βBはACE阻害薬に比べて-4mmHgの降圧効果あり、さらに予後改善効果あり
α遮断薬は透析後の血圧低下を増悪させるため、原則使用しない
透析患者へのスピロノラクトンは死亡率減少効果があるが、高K血症に注意(→なんで?)
腎性貧血

⓪腎性貧血は通常、正球性貧血
①Hb10g/dL以下で治療開始、12g/dL超えたらいったん終了
②鉄剤投与基準はTSAT(<20%)とフェリチン(<100)で決定する
③治療の順序は鉄欠乏に対するFe補充→ESA製剤の投与
- 治療目標値:Hb10~12g/dL(貧血治療の主な目的はQOLの改善>>予後改善効果)
貧血治療が生命予後を改善するかは対象研究ができないのでよくわからない
13g/dLを超えると心血管イベントが増加する - 鉄欠乏のチェック:
TSAT : トランスフェリン鉄飽和率 = 血清鉄 ÷ TIBC × 100 (%)
20%以下で鉄欠乏と診断、補充開始
フェリチン:100ng/mL以下
TSATとフェリチンの基準をともに満たす場合に、鉄剤投与の適応とする - 鉄補充療法:原則は経口投与>静注
フェリチン>200~300で鉄剤投与終了 - ESA製剤
- ダルベポエチンα=ネスプの後発品
- 保存期腎症から保険適応あり
- 添付文書上は初回20μg、2回目以降は週1回15〜60μgを毎週1回静脈内投与
- 毎月の採血で貧血治療適応を再評価し、投与継続・変更・中止を判断する
- 副作用:血圧上昇、みかけのHbA1c低下(→GAで評価する)
- ミルセラ
- 保存期慢性腎臓病→1回25μgを2週に1回皮下又は静脈内投与から開始
- ダルベポエチンα=ネスプの後発品
- ◎HIF-PH阻害薬
慢性炎症があるような状態では鉄の利用がうまくできず高容量のESA製剤を投与してもなかなか貧血が改善しない。このような場合にはESA製剤よりもHIF-PH阻害薬の方が有効であると考えられる。
警告:本剤投与中に、脳梗塞、心筋梗塞、肺塞栓等の重篤な血栓塞栓症があらわれ、死亡に至るおそれがある
脳梗塞(0.3%)、肺塞栓症(0.3%)、網膜静脈閉塞(0.3%)、深部静脈血栓症(0.3%)
血管新生を促進する恐れがあり、悪性腫瘍がある患者も使用しづらい(網膜出血1%未満で生じる)- バダデュスタット(バフセオ®)
- バフセオ 150mg錠 213.5円, 300mg錠376.2円
- 開始容量は、ESA製剤の使用のあるなしにかかわらず300mg
- 保存期腎症から保険適応あり
- 鉄、カルシウム、マグネシウムを含む薬剤と一緒に飲むとバフセオの効果が減弱する
- ダプロデュスタット(ダーブロック®)
- ダーブロック 1mg錠 105.4円, 2mg錠 185.8円, 4mg錠 327.4円, 6mg錠 456.1円
- 開始容量はESA製剤からの切り替えの場合 4mg、ESA製剤の使用なしの場合2mgまたは 4mg
- 保存期腎症から保険適応あり
- ロキサデュスタット(エベレンゾ®)
- 適応は透析患者のみ
- バダデュスタット(バフセオ®)
- その他の貧血治療:
- 透析効率(=Qbを上げることとほぼ同義)を上げて栄養状態を改善する
- 亜鉛欠乏なども評価する(亜鉛を補充しすぎると銅欠乏性貧血となる)

低酸素誘導因子ープロリン水酸化酵素(HIF-PH)という物質の働きを阻害することで、慢性腎臓病(CKD)などによる貧血を改善する薬
- 1日1回の経口薬
- 慢性腎臓病(CKD)などの腎機能が低下した状態では赤血球産生を促すエリスロポエチン(EPO)の産生が低下し貧血が引き起こされる
- EPO産生は低酸素誘導因子(HIF)という酵素の働きなどによって促される
- 本剤はHIFの分解に関わるHIF-PHに対して阻害作用をあらわす
- 透析患者でも使えるが、その場合には院内処方で処方するという縛りがあり非現実的
MCV低値+MCHC低値であると、鉄欠乏性貧血の可能性が高い→続いてFe、Zn、TIBC、フェリチンを測定
血清鉄はトランスフェリンと結合した状態で存在する→TIBC=Fe+UIBC
TSAT(鉄飽和率)=Fe÷TIBC×100
鉄剤投与の適応
①フェリチンが100ng/mL未満で、かつ、TSATが20%未満
②フェリチンが50ng/mL未満の場合

食事・栄養管理
- 蛋白制限は不要→尿毒症や腎保護を考える必要はない
- 塩分制限→高血圧患者では6g/日、それ以外でも0.14g/kg/日
- 透析患者は年金生活者など、生活に困窮している割合が多く食生活はインスタントやコンビニ食など悲惨になりがち
- 食事摂取できているかの指標としてTP、Albだけでなく体重増加やPやK上昇なども参考になる
リン・カルシウム・PTH
重要な順にリン→カルシウム→PTHの管理
透析患者は高P血症、活性型ビタミンD低値→MBDになる→透析患者には活性型ビタミンDは基本的に補充してよい
リンの管理
6.0mgを超えたらシナカルセト投与
- リンの目標値は3.5~6.0㎎/dL
- 正常腎のリンクリアランスは4-8g/日、腎不全進行に伴いリンの尿中排泄量は低下していくと、PTHが上昇して腸管んからのリン再吸収を抑えるが限界があり、やはりリン摂取制限が重要
- リンは茹でても減少しない(カリウムの場合は茹でこぼしが有効)
- 高リン血症の治療手順→大前提はよい透析(Qbを上げてリン除去効率を上げる)
①食事指導
無機リン(添加物として使用、リン酸塩、乳化剤、かんすい、pH調整剤)が多い食品:加工食品全般
インスタント食品、肉魚の加工品、レトルト、清涼飲料水、菓子パン、ファストフード、コンビニ弁当
無機リンの方が体内への吸収率が高く(吸収率90%以上)臨床的に問題になる
有機リンが多い食品:乳製品、動物の内臓(レバーや小魚、吸収率40~60%)、豆類など(吸収率20~40%)
②薬物療法→アドヒアランスが重要- △カルシウム含有:カルタン=タンカル=沈降炭酸カルシウム→人気ない、高カルシウム血症になる、予後悪化
- ◎カルシウム非含有:数種類ある、使うならこっちがよい、食直前に服用する
- ホスレノール(炭酸ランタン):
食直後に服用 - レナジェル、フォスブロック(セベラマー):
他の薬剤の吸収を低下させる可能性があるため食直前に服用、便秘が多い - キックリン(ビキサロマー):効くリン?
便秘と腹満が比較的少ない、薬剤吸収を低下させるため、食直前内服 - ◎リオナ(クエン酸第二鉄水和物):
鉄剤としての効果もある、下痢することがある、黒色便 - △ピートル(スクロオキシ水酸化鉄):
鉄剤としての効果はない、黒色便、便秘が多い
- ホスレノール(炭酸ランタン):


カルシウムの管理→かんたん
- カルシウムの目標値>8.0㎎/dL(Ca=8.0mg/dL前半が一番予後がよい)
- カルシウム治療はリン治療を優先してなお低カルシウム血症なら治療対象となる(基本は低めで管理でよい)
- ビタミン D 製剤が PTH の抑制に数日要するのに対し,シナカルセトは数時間以内に PTH を抑制する
- 低Ca血症治療薬=ビタミンDのみ(注射剤=経口薬)
<8.0㎎/dLで治療開始=ビタミンDの投与(経口、静注でエビデンスに差なし、Ca補正による生命予後への寄与は不明)、>10.0㎎/dLを超えないように管理- 活性型ビタミンD製剤の種類と特徴
- 注射剤
- ロカルトロール(カルシトリオール)
Ca上昇作用はロカルトロール>オキサロールとされるが、実臨床では有意差はなかった - ◎オキサロール(マキサカルシトール):2000年~
後発品はマキサカルシトール®(2.5、5、10μg)5μg=691円(先発オキサロール5μg=850円)
適応症:維持透析下の二次性副甲状腺機能亢進症のみ
用法用量:初回投与量5~10μg、維持量2.5~20 µg/回を週3回、以後モニタリングしながら適宜調整、iPTH<150pg/mLで投与中止
- ロカルトロール(カルシトリオール)
- 内服薬
- ロカルトロール(カルシトリオール):1986年~
用法用量:成人1日1回カルシトリオールとして0.25〜0.75μgを経口投与(慢性腎不全)
適応症:慢性腎不全、骨粗鬆症 - エディロール(エルデカルシトール):2011年~
カルシウムの吸収を促進する作用に加えて、従来のお薬よりも、骨吸収を抑える効果が高い
投与中の高Ca血症に注意→モニタリング必須、高Ca血症で腎不全を起こすことがよくある
適応症:骨粗鬆症のみ - ワンアルファ錠(アルファカルシドール):1981年~
さまざまな適応症あり、骨粗鬆症のみならず慢性腎不全の骨病変にも使用可
同成分の薬剤:アルファロール(カプセル、散、内用液)
- ロカルトロール(カルシトリオール):1986年~
- 注射剤
- 活性型ビタミンD製剤の種類と特徴
- 高Ca血症治療薬=Calcimimeticsカルシミメティクス=Ca、P、PTHをすべて同時に低下させる
- カルシミメティクスには副甲状腺容量を減少させることも示されている
- カルシミメティクスの種類と特徴→PTHの治療薬参照


- 活性化ビタミンD製剤はCaを上昇、PTHを低下させる、Pは横ばい(教科書的には腸管からのP吸収↑だが、VDによりPTH↓→P横ばいということだろう)
- シナカルセトをはじめとするカルシミメティクスはPTH、P、Caすべて低下させることで、血管石灰化の進行を防ぎ,生命予後を改善させることが期待される
PTH
治療の順序はまず高リン血症の治療+カルシウムの治療→それでもPTH高値持続ならPTH治療を追加する
- 副甲状腺では血中カルシウム濃度を感知してPTH分泌調整している
→副甲状腺に発現するカルシウム受容体に結合してPTH 分泌を強力に抑制する薬理作用を有する化合物をカルシミメティクス(CaR作動薬)という - wPTHの目標値:透析患者の目標値は「35~150pg/mL以下」、iPTHなら59.5-255
- wPTH×1.7=iPTH
- wPTHが250-300pg/mLで治療開始
- PTHの薬物療法:カルシミメティクスのみ(以前は副甲状腺亜全摘しかなかった)
- カルシミメティクス投与中の低Ca血症には活性化ビタミンD製剤を併用するか、カルシミメティクスを減量/中止する
- 開始直後の悪心嘔吐、低カルシウム血症に注意、導入時は毎週チェックする
- 内服薬:
- △レグパラ(シナカルセト):カルシミメティクスの代名詞、ファーストインクラス
心血管病による入院リスクの低下が示されている
強いチトクロームCYP2D6阻害作用を有する
悪心など上部消化管症状が高頻度 - ◎オルケディア(エボカルセト):2018年~
1mg(=271円)を1日1回投与のCaR作動薬、最大12mg/日まで増量可
CYP分子種に対する阻害作用を低減
レグパラより消化管障害が少ない
- △レグパラ(シナカルセト):カルシミメティクスの代名詞、ファーストインクラス
- 静注:内服薬の2倍の薬価
- パーサビブ(エテルカルセチド):2017年~
1回5μg(=1091円)を週3回、透析回路から投与
上部消化管症状はほとんどない - ウパシタ(ウパシカルセトナトリウム水和物):
1回25μg(=967円)を開始用量とし、週3回、透析終了時の返血時に透析回路静脈側に注入する
妊婦に禁忌
- パーサビブ(エテルカルセチド):2017年~
- 内服薬:

0歳のときの平均余命のこと
80歳男性の平均余命は9歳、80歳女性の平均余命は12歳
90歳男性の平均余命は4歳、90歳女性の平均余命は5歳
透析患者の場合、透析歴5年ごとに生存割合が半減する、一般人の平均余命の半分と言われている
透析患者の透析導入平均年齢はだんだん高齢化しており、現在は71歳
一般人の場合、70歳男性の平均余命は15年、女性は20年、透析患者の場合、5年ごとに半分死んでしまう
透析患者の粗死亡率は10%/年
シャントの管理
- 日本IVR学会:血液透析用バスキュラーアクセスのインターベンションによる修復の基本的技術に関するガイドライン(VAIVT)
- 透析VAIVTは学会も認定医制度もできた
推奨されるシャント血流量(mL/min)
→QB200mL/min以上を安定して生み出すのに必要とされる理想的なシャント血流は最低350mL/min以上

シャント血流量の計測方法
- TAVの測定
- 上腕動脈を描出
- 血管とパルスドップラーの入射角度を60度以内にする
- TAVをトレース
- 血管断面積を測定
- TAV×血管断面積で血流量が計算される



末梢血管のPWD観察方法
スラントをかける(=角度をつける)ときれいにドプラーが乗る
血管自体をななめに描出したい
パルスドプラー計測時の角度補正は60度以内にする(角度をできるだけ小さくするのがよい)


パルスドプラ法(PWD)では、Bモード上にサンプルボリューム(SV)のカーソルが表示され、その横に血流波形(FFT波形)が示されます。
SVはBモード上の自由な部位に設定できます。FFT波形の表示では、縦軸が流速で横軸が時間を表しています。基線の上側に表示されるのはプローブに向かってくる流速で、逆に下側に表示されるのはプローブから遠ざかる流速を意味します。このようにパルスドプラ法では、断層像を見ながら自由に目的部位の血流観察を行うことができます。サンプルボリューム内(=の形の中)の血流情報を解析する場合に用いる
サンプルボリューム内の血流が探触子に近づく、遠ざかる速度を表示する
サンプルボリュームの幅は3-4㎜が推奨
深いところの早い血流はとらえにくい→頸動脈やシャントエコーなどの体表血管に良い適応
ドプラー計測の原則はドプラーのラインと血流の方向をできるだけ平行にする(Bモード画像は犠牲にしてもよい)
心エコーにおけるパルスドプラー計測項目

FFT波形の種類には、山と谷が周期的に現れる拍動流波形と平坦な定常流波形(図5b)の2つがあります。拍動波は立ち上がりが急峻で速度の速い動脈波形(図5a)と、流速が低く2相性を示す静脈波形(図5c)に分かれます。このことからFFT波形の特徴を理解すれば、その血管が何であるかを知ること(動脈・静脈・門脈の判別)ができます(図5)。

流速の速い動脈のFFT波形では、折り返し現象がしばしば経験されます(図6)。折り返し現象とは、測定範囲を超えた速度部分が反対側に表示されることです。この折り返し現象を解消するには2つの方法があります。(1)「ゼロシフト」ボタンで基線を動かして表示範囲を移動させる方法と、(2)「流速調整」ボタンで最高流速の値を変化させて表示範囲の縮尺を変える方法です。

早い血流速のなかの、さらに最大流速を測定する場合に用いる
使用する状況はカラードプラーでモザイクパターン(=高速血流による乱流)となるような血流が対象となる
理論的には10m/s以上の血流速度も計測可能(生体内では存在しない血流速度)
たとえば、MRの血流速度は5~6m/s→速すぎてパルスドプラーではとらえられない!!!
心エコーにおける連続波ドプラー計測項目

カリウムの管理
- カリウム吸着薬:選択肢は3つと少ない
- 食事中や腸液中のカリウムを吸着して排泄する
- ポリスチレンスルホン酸はNa/CaとKを交換する
- ポリスチレンスルホン酸はMgやCaなどの陽イオンも吸着してしまう(MgOやCa製剤)
- 種類と特徴
- ①ポリスチレンスルホン酸カルシウム
- カリメート経口液、散
- ポリスチレンスルホン酸Ca経口ゼリー(旧販売名:アーガメイトゼリー )
- チラーヂンの吸収を抑制する
- ②ポリスチレンスルホン酸ナトリウム
- ケイキサレートドライシロップ、散
- ケイキサレートは消化器関連の副作用が多い(腸出血、腸管裂孔、腸閉塞など)
- チラーヂンの吸収を抑制する
- ケイキサレートドライシロップ、散
- ③ジルコニウムシクロケイ酸ナトリウム水和物
- ロケルマ(2020年~)
- カリウム選択性が高く、K吸着効率が高い
- 問題点は1回量5g=1095円、30000円/月(ほかの薬剤は60~70円/回程度)
- ロケルマ(2020年~)
- ①ポリスチレンスルホン酸カルシウム
慢性腎不全における尿毒症毒素を消化管内で吸着し、便とともに排泄されることにより、尿毒症症状の改善や透析導入を遅らせる効果をもたらす。クレメジン内服よりも食事療法(塩分制限、タンパク制限)や血圧コントロールなどの方が重要。
- クレメジン内服時の注意点
- 便秘は必発
- 食間に飲む、チラーヂンの吸収率低下
尿酸値
- 透析を受けると尿酸も除去される→透析導入前より導入後の方が痛風発作頻度は減少する
- 逆に、痛風結節を伴う患者の血液透析導入は,痛風結節中の尿酸結晶を融解し,繰り返す関節炎の原因になる
- 透析患者へのコルヒチン投与は造血器障害の発症率が高く,下痢,食欲不振などの消化器症状.などの副作用も起こりやすいため極力避けるべき
作用機序:
尿酸代謝に殆ど影響が無く,白血球の尿酸貧食作用および貧食好中球の脱顆粒を阻止し,白血球のアメーバ様運動を抑える
副作用が多い、相互作用が多いため、使用には注意が必要
カルニチン
「カルニチン欠乏症」
→遊離カルニチン(FC)濃度が 20μmol/L 未満の場合
「カルニチン欠乏症が発症する可能性が極めて高い」
→遊離カルニチンが 20≦FC<36μmol/L,あるいはアシルカルニチン/遊離カルニチン比が0.4以上の場合
- アミノ酸のカルニチンは,長鎖脂肪アシル補酵素A(CoA)エステルを筋細胞のミトコンドリアに輸送するために必要であり,エステルはミトコンドリアで酸化されてエネルギーを産生する。カルニチンは食品(特に動物性食品)から摂取され,また体内でも合成される
- 透析患者は,タンパク制限による「食事からのカルニチン摂取不足」と,透析により血中カルニチンが除去される「透析液への喪失」が原因でカルニチン欠乏症となる
- カルニチン欠乏症で認められる症状(心機能低下,腎性貧血,筋症状など)の改善効果を期待して,カルニチン補充を行う
- カルニチン欠乏には,カルニチンの絶対的欠乏(carnitine deficiency)とアシルカルニチンの蓄積に比べて遊離カルニチンが欠乏する相対的欠乏(carnitine insufficiency)が知られており,血中カルニチン 2 分画の遊離カルニチンとアシルカルニチン(総カルニチン―遊離カルニチン)濃度を測定することは非常に重要である
- 治療:
- ×エルカルチンFF錠100mg(オーツカ製薬)の経口投与→15~30錠/日も飲まなければならない
- ◎レボカルニチンFF静注1000㎎(ニプロ)
血液透析に伴うカルニチン欠乏症に対しては、通常、レボカルニチンとして体重1㎏あたり10~20㎎を透析終了時に、透析回路静脈側に注入(静注)する。なお、患者の状態に応じて適宜増減する。

透析関連症状の管理
皮膚掻痒感
- 中枢神経や末梢神経にあるオピオイド受容体は、疼痛、鎮静、鎮咳、消化管運動抑制に関わり、μ(ミュー)、δ(デルタ)、κ(カッパ)の3種類のタイプがある。この中でも、κ受容体は、透析による痒みに深く関係している。オピオイド受容体の作用発現はサブタイプごとに異なり、κ受容体はμ受容体と相反する作用を示す。オピオイドμ受容体が優位になると痒みが起き、κ受容体が優位になると痒みが抑制される
- レミッチ(ナルフラフィン):
- ジフェリケファリン
- レミッチが経口薬であるのに対して、ジフェリケファリンは静脈注射用製剤なので服薬アドヒアランスの向上と透析クリニックへ薬価の差益をもたらす
下肢のつり
- カルニチン不足(透析患者に多い)の場合はカルニチン補充がよい→サプリメントが販売されている
血中カルニチン検査ができる
カルニチン欠乏症は,筋壊死,ミオグロビン尿,脂質蓄積性ミオパチー,低血糖,脂肪肝,ならびに筋肉痛,疲労,錯乱,および心筋症を伴う高アンモニア血症を引き起こす - 基本は芍薬甘草湯、その他はエビデンスなし
カルシトニン→32個のアミノ酸からなるペプチドホルモン で,血中Ca低下作用を有する。主として甲状腺の傍濾胞細胞から分泌される。
カルニチン→生体において脂質の代謝に関与するビタミン様物質。
保存期から透析期への移行
- 厚労省の基準がある(1991年作成)
- 日本人の腎機能低下速度はeGFR50を切り出すと急激に悪化し始めほぼ直線的に悪化していく
- 一般人:-0.36mL/min/1.73㎡/年
- eGFR40~50:-0.8~1.2
- eGFR30~39:-2.0~3.3
糖尿病性腎症の患者ではアルブミン尿が始まると-2.68mL/min/1.73㎡/年の猛スピードで悪化していく
- G3a~3b期から腎代替療法まで、腎硬化症で平均8年、糖尿病性腎症で平均6年
- G5期は1年以内に50%が透析導入となる
透析関連の指導料
- 腎代替療法指導管理料
- 糖尿病透析予防指導管理料
専任:5割以上の時間を費やすこと
専従:8割以上の時間を費やすこと
透析患者慎重投与の薬
- キノロン系:QT延長症候群→TdPで死亡する危険性、そもそも効果が期待できる疾患が少ない
透析患者の併存症への対応
サルコペニア・フレイル
脂質異常症
- エビデンスに基づくCKD診療ガイドライン2018(日本腎臓学会)
→スタチン+エゼチミブがCVDの発症及び再発の抑制、尿蛋白増加、腎機能悪化を抑えるために提案
CKDではフィブラート系は避ける必要がある - 動脈硬化性疾患予防のための脂質異常症診療ガイド2023(日本動脈硬化学会)
不整脈
心房細動
現時点ではRCTやメタ解析の結果から、Af合併保存期CKD患者では抗凝固療法を行うことが推奨され、DOACが有用であること、透析患者ではルーチンの抗凝固療法は推奨されないというのが集約的な意見と考えられる。最終的には、個々の症例に対して益と害のバランスをCHADS2スコアおよびHAS-BLEDスコアでも評価しながら、包括的かつ慎重に考慮し、適切な抗凝固療法を行うことが求められる。
- 心電図、不整脈と虚血性心疾患のページ参照
- 透析患者の心房細動の有病率:22.2%
- 心房細動の新規発症
- 透析導入1年以内:11.3%
- 透析導入10年以内:14.5%
- 透析患者では本来、ワルファリンは原則禁忌とされており、Af例に対するワルファリン投与の是非についても結論が出ていない
- 心房細動患者の抗凝固療法の有効性を評価した大規模な無作為化試験のほとんどが末期腎疾患を除外したため、透析患者の抗凝固療法の有用性の明確な証拠はない
- 心房細動がある透析患者にワーファリンを使用すると出血性合併症を増加させ、脳梗塞、血栓塞栓症の抑制効果がなかった CHEST 2016; 149(4):951-959
月に1回検査する
- Hb
<10g/dLでダルベポエチン5or10μgを週1回投与する、11~12g/dLを超えたら中止 - Fe
低値ならフェジン40mgもダルベポエチンと同時に投与する - TP
- ALB
循環血症量低下により透析中に血圧低下をきたしやすくなる - UN
- Na
- K
- Ca
- P
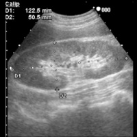
腎臓のエコー検査
透析患者の腎癌の発生率は健常者に比較し15 倍!!
透析歴10年以上の若年男性に好発する(ハイリスク群では100倍)


- 腎臓の正常解剖とエコー所見:
- 外側の腎実質の黒い部分:皮質と髄質からなる。CECとの境界が明瞭である。
- 内側の白い部分:腎杯・腎盂と脂肪組織からなる。中心の白色部は、中心エコー帯(CEC:Central Echo Complex)と呼ばれる。
- 慢性腎不全の腎臓のエコー所見:
- 外側の腎実質が白く萎縮し、CECが判別困難になる。
- 一般的に末期腎不全に進むにつれ、腎臓は萎縮し、辺縁の不整や腎実質の菲薄化と輝度上昇を認める。
- やがて透析が始まると、経時的に多数の嚢胞が発生したACDK(多嚢胞化萎縮腎)と呼ばれる形態を呈する。
また、ACDKは腎癌の発生母地となることがある。 - 糖尿病由来の腎不全患者では透析導入直後では腎実質が高輝度になっているだけで健常腎とほとんど変わらないこともある
- 腎癌
- 透析腎に発症する充実性腫瘤のほとんどは腎癌
- 萎縮腎においては腎実質内の円形~類円形の腫瘤として,多嚢胞化萎縮腎では嚢胞内の限局性・乳頭状もしくは嚢胞内充満型の充実性腫瘤として検出される
- 長期透析後に発生する後天性腎嚢胞は,嚢胞内出血をきたしやすく,超音波検査では嚢胞内充実性腫瘤として描出され場合,嚢胞内充実性腫瘍と嚢胞内出血を含む complicated cyst との鑑別診断に難渋する



腎臓の機能の低下が進むと、腎臓が萎縮する「萎縮腎」と呼ばれる状態になる。
血液透析を長年受けている患者は、萎縮腎に後天性の嚢胞が生じやすく、それが増えると「多嚢胞化萎縮腎(ACDK)」と呼ばれる状態になる。嚢胞には発がん性の物質がたまりやすいので、がんのリスクが上がると考えられている。ACDKの発生率は透析期間に比例し、3年未満で44%、3年以上で79%、10年以上では90%と次第に高くなり、程度も悪くなる。
透析患者でみられる多嚢胞化萎縮腎に伴う腎臓がんの割合は、透析期間が10年未満では17%、透析10年以上では46%という報告があり、透析期間が長期になると多嚢胞化萎縮腎に伴う腎臓がんが増える傾向があります。特に多嚢胞化萎縮腎に伴う腎臓がんは、両方の腎臓にできやすいことも言われています。
普段の生活指導
- 下肢の筋トレ
- 塩分制限
- リンの制限
- 痩せたときはハーゲンダッツを食べさせる=良質の脂質、糖質
透析中の問題と対処法
血圧低下
- メチル硫酸アメジニウム、塩酸ミドドリン、ドロキシドパ、塩酸エチレフリンなどの昇圧薬による薬物治療を行います。
抗凝固薬
- ヘパリンはbolus1000単位、持続500U/hrでよい